International Database of Intraoperative Ultrasound Images of Brain Tumors

The Department of Neurosurgery of the Río Hortega Hospital began a new research project in which we are the coordinating center.
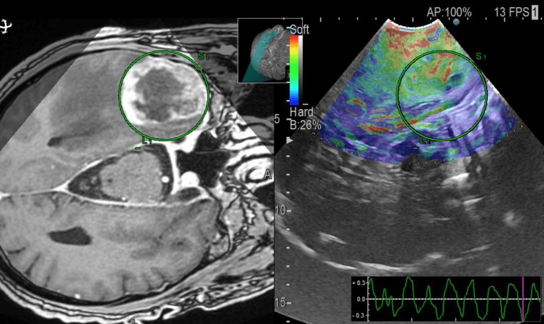
The project aims to analyze intraoperative ultrasound images of glioblastomas and develop new prediction survival models through advanced neuroimaging processing techniques and machine learning algorithms. To collect data, we promoted the creation of the first international database of intraoperative ultrasound images of brain tumors (BraTioUS-DB), in which we will collaborate with at least 6 other hospitals. At the moment we are awaiting the IRB approval of the participating centers, being the first to obtain it the Fondazione Istituto Neurologico Carlo Besta, Milano, Italy.Nuevo párrafo
Host Organization: University Hospital Río Hortega
Project Title: Predicting overall survival in glioblastomas using radiomic features of intraoperative ultrasound. A proposal for the creation of an international database of brain tumor ultrasound images.
Local Ethics Committee approval: Ref.: 21-PI085
ClinicalTrials.gov Identifier: NCT05062772
https://clinicaltrials.gov/ct2/show/NCT05062772

Predicting the survival of patients diagnosed with glioblastoma (GBM) is essential to guide surgical strategies and subsequent adjuvant therapies. Intraoperative ultrasound (ioUS) is a low-cost, versatile technique available in most neurosurgical departments. The images from ioUS contain biological information possibly correlated with the tumor's behavior, aggressiveness, and oncological outcomes. Today's advanced image processing techniques require a large amount of data. Therefore, we propose creating an international database aimed at sharing intraoperative ultrasound images of brain tumors. The acquired data must be processed to extract radiomic or texture characteristics from ioUS images. The rationale is that ultrasound images contain much more information than the human eye can process. Our main objective was to identify a relationship between these imaging characteristics and overall survival (OS) in GBM. The predictive models elaborated from this imaging technique will complement those already based on other sources, such as MRI and genetic and molecular analysis. Predicting survival using an intraoperative imaging technique that is affordable for most hospitals would greatly benefit patient management.